池田歯科医院
ごあいさつ
スタッフ紹介
医院紹介
治療内容
料金システム
何でも相談室
お問合せ・予約
TOP
治療内容-審美歯科・ホワイトニング
審美歯科
近年、お口元の審美に対する要求度が益々高まっています。当医院ではそのような要求に応えられるよう、セラミックスクラウンやラミネートベニアなどの、様々なオプションをご用意しております。
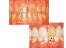
治療前   治療後
前歯部ジャケット冠
前歯部ラミネートベニア
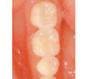
臼歯部インレー
臼歯部クラウン&インレー
ホワイトニング
当医院では“アメリカで最もポピュラーなホワイトニングシステム”を導入しております。
美しいスマイルは、人に対してさわやかで、清潔で、明るいイメージを与えます。口元にコンプレックスを感じておもいきって笑えなかった方が、歯並びや歯の色を変えてあげることで、コンプレックスがなくなり素敵な笑顔になります。
池田歯科医院
〒112-0002
東京都文京区小石川1-16-6 サンクタス小石川101
TEL:03-5684-4184 FAX:03-5684-4184
<診療項目>
一般歯科・小児歯科・インプラント・矯正歯科・審美歯科・ホワイトニング・特殊義歯・歯周病
各種保険取扱い・急患随時